GALLERY

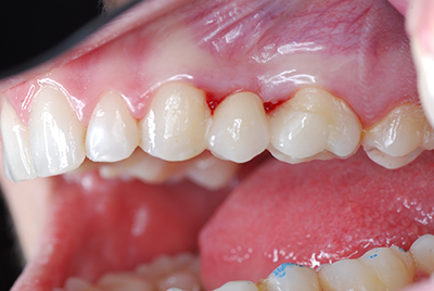
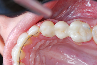
Σύγχρονη ολοκεραμική γέφυρα

Description

Σύγχρονη ολοκεραμική γέφυρα με ελάχιστο τρόχισμα δοντιών για την συμπλήρωση του ελλειπόντος προγόμφιου.

ΠΡΙΝ

ΜΕΤΑ

Summary
Share